みやざき歯科が選ばれる5つの理由 REASON
-
REASON.01
科学的根拠に基づく、
高水準な歯科医療 -
REASON.02
分かりやすい丁寧な説明
-
REASON.03
痛みの少ない治療
-
REASON.04
徹底した衛生管理と、
ホスピタリティー -
REASON.05
安らぎの院内空間
診療案内 TREATMENT

目立たず、綺麗な歯並びに
ワイヤーやブラケットとは違い、マウスピース型の装置で歯を動かす矯正方法です。マウスピースは透明なので目立ちにくく、食事中は取り外す事も可能です。
マウスピース矯正(インビザライン)

失った歯を取り戻す
インプラント治療とは、歯を失ってしまった方に人工の歯根を埋め込み、今まで通り噛めるようにする治療法です。
むし歯や歯周病で、歯を失ってしまった方はお気軽にご相談ください。

美しく自然な白い歯に
過去に入れた銀歯や、変色してきた被せ物などでお悩みはありませんか?
セラミック治療は、見た目だけでなくむし歯になりにくいなど様々なメリットがあります。
様々なお口のお悩みに
応えるために
当院では、患者さまのお口の健康をサポートするため、むし歯や歯周病の治療のみならず、マウスピース矯正(インビザライン)や、インプラント・ホワイトニングなど幅広い診療を行っております。
お口のことでお困りの際は、お気軽にご相談ください。
歯をほとんど
失ってしまった方へ
「むし歯を放置したままで歯がほとんどなくなってしまった」「歯周病で歯が抜けてしまったままになっている」「歯医者が怖くて通えず歯がボロボロ…」などお悩みはありませんか?
当院では、歯をほとんど失ってしまった方でもその人にとってより良い治療法をご提供いたします。
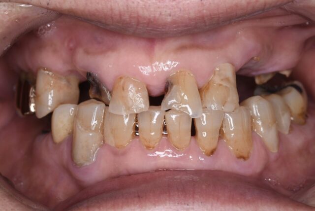
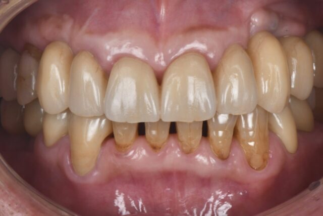
治療症例 CASE
多数歯欠損患者に対する咬合再構成症例
インプラントオールセラミックセラミックインレー咬合治療審美歯科
-

Before
-

After
| 通院時の年齢 | 70代 |
|---|---|
| 性別 | 男性 |
| 通院回数 | 約2年 |
| 通院目的 | 長期間虫歯を放置してしまって噛めないので噛めるように治療したい |
| 処置内容 | 臼歯部欠損による咬合高径の低下に対する咬合挙上を伴う咬合再構成 右上3 左下5.6 インプラント 左上3.4.5.6 インプラントブリッジ 左上1256 右上123 右下34 左下56 オールセラミッククラウン 左下6セラミックインレー 左上:サイナスリフト |
| 費用 | 3553000円(税込) |
| デメリット | リスク・副作用:出血、腫張、疼痛、青痣、神経麻痺、補綴物の脱落、破折、インプラント体の破折、咬合違和感、インプラント周囲炎等 |

採用情報 RECRUIT
「みやざき歯科」では、患者さまのお口の健康をサポートする仲間を募集しています。
高い歯科治療を患者さまに提供するためには、積極的に知識を身に着け、経験を増やすことが大切です。
そのため、当院ではスタッフの教育に力を入れており、積極的に学べる環境を整えています。
アクセス ACCESS
- 所在地
- 〒595-0023 大阪府泉大津市豊中町1-4-7
- アクセス
- 南海電車「泉大津駅」より徒歩20分
JR阪和線「和泉府中駅」より徒歩15分。泉大津高校の前 - 駐車場
- 10台あり




